-
-
-
Tổng tiền thanh toán:
-
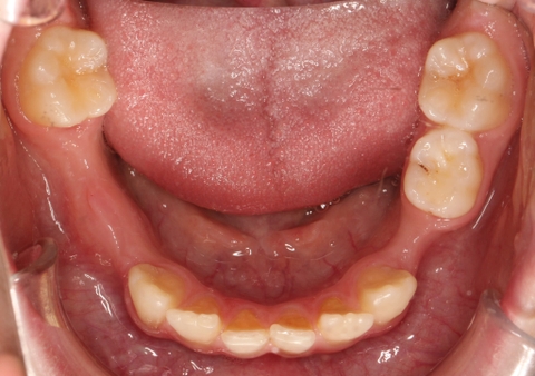
Nếu bị mất 1 cái răng hàm có sao không? Mất răng bao lâu thì bị tiêu xương hàm?
Khi không may bị mất 1 cái răng hàm có rất nhiều người lo lắng không biết như vậy có sao không, có ảnh hưởng gì đến cơ thể nhiều không? Bên cạnh đó cũng có nhiều người lo lắng...
May, 23 2024
