-
-
-
Tổng tiền thanh toán:
-
Mất răng hàm số 6 có vấn đề gì không? Mất răng hàm số 6 có niềng được không?
Mỗi chiếc răng của chúng ta đều giữ vai trò riêng đối với cơ thể, và một số răng còn liên kết với các dây thần kinh hoặc mạch máu liên quan các cơ quan khác. Vậy nên khi bị mất răng hàm vì những lý do không mong muốn thì khá nhiều người lo lắng không biết điều đó có ảnh hưởng gì hay không. Việc bị mất răng hàm số 6 xảy ra khá phổ biến và cũng gây ra nhiều sự lo lắng cho người gặp phải. Với những thông tin mà Trường Trung cấp Y khoa Việt Nam đưa ra dưới đây về việc mất răng hàm số 6 và có niềng răng được hay không sẽ giúp ích cho bạn!
Những nguyên nhân gây mất răng hàm số 6
Trên cung hàm của người trưởng thành thường có 32 chiếc răng vĩnh viễn, bao gồm cả răng khôn. Răng hàm số 6 thường được biết đến với tên gọi khác là răng cối, và chúng có vai trò quan trọng trong quá trình nhai và nghiền thức ăn. Đặc điểm của răng số 6 bao gồm:
- Răng hàm số 6 mọc một lần duy nhất và không được thay thế trong quá trình thay răng sữa giống như các răng khác.
- Nó có kích thước lớn hơn so với các răng khác trên cung hàm, có chân răng lớn và diện tích mặt nhai rộng.
- Răng hàm số 6 được bao quanh bởi nhiều dây chằng, mạch máu và dây thần kinh, làm cho nó trở nên nhạy cảm khi bị tác động từ bên ngoài.
- Vị trí của răng này nằm sâu bên trong hơn so với các răng khác, điều này làm cho việc vệ sinh răng thứ 6 trở nên khó khăn hơn.
Có nhiều nguyên nhân dẫn đến tình trạng mất răng hàm số 6, dưới đây là những nguyên nhân phổ biến nhất:
- Sâu răng: Khi răng hàm số 6 bị sâu trong thời gian dài và không được điều trị kịp thời, men răng, ngà răng và thân răng có thể bị ăn mòn, dẫn đến tình trạng mất răng.
- Viêm quanh răng: Tình trạng này có thể xuất phát từ viêm lợi, việc vệ sinh răng miệng không đúng cách, không thường xuyên lấy cao răng, hoặc do các yếu tố như hút thuốc lá, uống rượu, hoặc mắc bệnh tiểu đường. Nếu không được điều trị, viêm quanh răng có thể lan rộng và gây tổn thương nghiêm trọng cho cấu trúc xương quanh răng, dẫn đến tình trạng mất răng.
- Gãy hoặc vỡ nứt phần thân răng: Có thể xảy ra do va đập hoặc cắn vào các vật quá cứng, do mòn men răng nghiêm trọng, do thói quen ngủ nghiến răng, hoặc do vấn đề về khớp cắn.
Ảnh hưởng của mất răng hàm số 6 như thế nào?
Như đã đề cập ở trên, răng số 6 thường bắt đầu mọc từ khi trẻ từ 6 đến 8 tuổi và không bao giờ mọc lại sau khi mất. Do đó, răng số 6 dễ bị viêm và sâu nếu không được chăm sóc và vệ sinh đúng cách. Hơn nữa, vai trò quan trọng của răng số 6 trong quá trình nhai và nghiền thức ăn cũng là một điểm cần lưu ý. Nếu mất răng số 6, người bệnh có thể phải đối mặt với những vấn đề sau:

Mất răng số 6 có thể ảnh hưởng đến chức năng nhai và hoạt động của hệ tiêu hóa:
Răng hàm số 6 và răng số 7 thường hợp tác với nhau trong quá trình nhai và nghiền thức ăn trước khi nó được đưa xuống dạ dày. Khi mất răng số 6, quá trình này sẽ chỉ phụ thuộc vào răng số 7, làm giảm hiệu suất của việc nghiền nát thức ăn so với khi có cả răng hàm số 6 và số 7. Kết quả là, áp lực nhai trên thức ăn sẽ giảm đi, tạo ra áp lực lớn hơn cho hệ tiêu hóa, buộc dạ dày phải co bóp mạnh hơn để xử lý thức ăn. Hơn nữa, việc hấp thụ dưỡng chất từ thức ăn cũng sẽ giảm đi đáng kể do thời gian tiếp xúc với enzym tiêu hóa trong dạ dày bị giảm.
Mất răng hàm số 6 cũng có thể gây ra sự xô lệch khuôn hàm:
Khi một răng bị mất, nó tạo ra một khoảng trống trên khuôn hàm, và các răng còn lại có thể di chuyển vào không gian này. Điều này cũng ảnh hưởng đến vị trí của các răng đối diện. Ví dụ, nếu mất răng hàm số 6 ở hàm dưới, răng hàm số 6 ở hàm trên có thể trồi xuống mà không có sự hỗ trợ, làm cho quá trình nhai thức ăn trở nên khó khăn hơn. Tình trạng này có thể gây ra đau nhức và thậm chí là lệch khớp cắn.
Mất răng số 6 cũng có thể gây ra tình trạng tiêu xương hàm:
Khi mất răng hàm số 6, lực nhai tại vùng này sẽ giảm đi, dẫn đến việc không có áp lực nào để kích thích sự phát triển và duy trì của xương hàm. Kết quả là, vùng xương hàm có thể dần teo nhỏ và mất đi thể tích xương. Tình trạng này thường bắt đầu xuất hiện khoảng sau 3 tháng kể từ khi mất răng hàm số 6 và thường không gây ra cảm giác đau đớn cho người bệnh. Tuy nhiên, khi tình trạng tiêu xương hàm tiến triển, phần lợi của các chân răng gần răng hàm số 6 sẽ bắt đầu tụt xuống, và hậu quả của việc tiêu xương hàm sẽ trở nên rõ ràng và dễ nhận biết.
Mất răng hàm số 6 cũng có thể gây ra mất thẩm mỹ
Vì răng số 6 thường ẩn sau và không được nhìn thấy khi cười và nói, nhiều người cho rằng việc mất răng hàm số 6 không ảnh hưởng nhiều đến vẻ ngoài. Tuy nhiên, khi bạn mỉm cười hoặc nói chuyện, nhìn từ góc nghiêng, sự thiếu vắng của răng hàm số 6 có thể dễ dàng phát hiện, gây ra sự tự ti khi giao tiếp với người khác.
Hơn nữa, khi xảy ra tình trạng tiêu xương hàm, khuôn mặt của người bệnh sẽ mất đi sự cân đối. Khuôn mặt có thể bị biến dạng, vùng răng mất có thể co lại, và da mặt có thể trở nên nhăn nheo hơn, lão hóa nhanh hơn. Những thay đổi này làm cho khuôn mặt trở nên già đi rõ ràng hơn, ảnh hưởng tiêu cực đến vẻ ngoài tổng thể của người bệnh. Do đó, mất răng hàm số 6 có thể gây ra ảnh hưởng đáng kể đến thẩm mỹ của khuôn mặt.
Mất răng hàm số 6 có niềng được không?

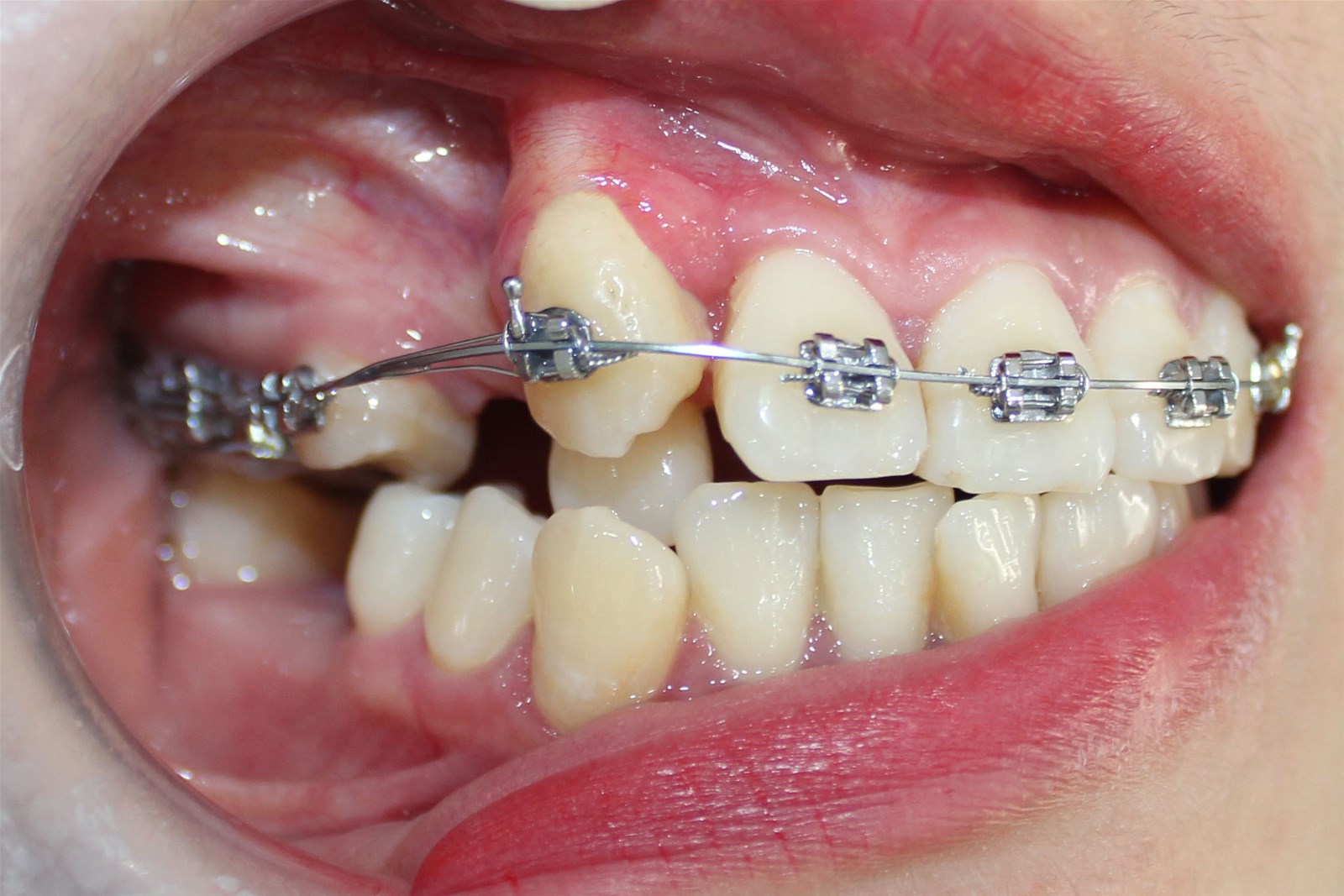
Khi mất răng hàm số 6 hàm trên hoặc hàm dưới có niềng được không? Câu trả lời là có thể niềng răng để khắc phục việc mất răng hàm số 6. Tuy nhiên điều này phụ thuộc vào nhiều yếu tố. Nếu bạn đã mọc hoặc đang mọc răng khôn (răng hàm số 8), hoặc nếu răng khôn mọc ngầm nhưng vẫn có thể tiếp cận, niềng răng là một phương án khả thi. Tuy nhiên, nếu không có răng khôn hoặc đã nhổ răng khôn mà vẫn mất răng hàm số 6, niềng răng không phải là giải pháp. Trong trường hợp này, cần phải thực hiện thủ thuật cấy ghép implant cho răng đã mất.
Nếu vẫn còn răng số 7 và răng số 8 cùng hàm và cùng phía, có thể niềng răng bằng cách kéo 2 răng này thay vị trí của răng số 6. Theo thời gian kéo và điều chỉnh, răng số 7 sẽ thay vị trí của răng hàm số 6 và trở thành răng số 6, còn răng số 8 sẽ thay vị trí của răng số 7 và trở thành răng số 7. Sau khi hoàn thành quá trình niềng răng, bạn sẽ có một hàm thật và có thể ăn uống tự nhiên như trước khi mất răng.
Cũng có thể thực hiện tương tự đối với trường hợp răng số 8 đang mọc, tuy nhiên, việc này phụ thuộc vào tình trạng răng số 8 và tình trạng răng hiện tại của bạn, và sẽ được nha sĩ chỉ định.
Quá trình niềng răng sẽ yêu cầu tính toán kỹ lưỡng để đảm bảo răng số 7 dịch chuyển vào vị trí của răng hàm số 6 một cách hiệu quả, đồng thời cũng cần xác định thời gian điều chỉnh răng phù hợp. Trong trường hợp khoảng trống mất răng nhỏ, quá trình niềng răng sẽ dễ dàng hơn, tuy nhiên, nếu khoảng trống lớn, việc này có thể không đạt được hiệu quả mong muốn. Trong trường hợp này, bạn có thể cần phải tiến hành trồng thêm răng số 6 đã mất để phục hồi cấu trúc răng sau khi hoàn tất quá trình niềng răng.
Vậy là bạn đã hiểu mất răng hàm số 6 ảnh hưởng như thế nào và có niềng được không rồi phải không? Việc chăm sóc răng miệng là điều mà mỗi chúng ta cần chăm chút hàng ngày để có nụ cười rạng rỡ, hàm răng chắc khỏe. Nếu không may gặp sự cố khiến mất đi răng hàm số 6 thì bạn hãy cẩn trọng và đừng quá lo lắng vì khắc phục đúng chúng ta vẫn sẽ không bị ảnh hưởng quá nhiều bởi nó!
>>> Bài viết liên quan:
April, 20 2024
