-
-
-
Tổng tiền thanh toán:
-
Mất răng số 6 hàm dưới có sao không,có niềng răng được không? Mất 2 răng số 6 hàm dưới sẽ thế nào?
Răng số 6 đóng vai trò quan trọng trong việc nhai và nghiền nát thức ăn, đồng thời định hình sự phát triển của hàm răng. Nếu vì bất kỳ lý do gì mà mất răng số 6 hàm dưới, bạn không nên xem nhẹ mà cần khắc phục sớm để tránh những hậu quả xấu cho sức khỏe trong tương lai. Tìm hiểu thêm những thông tin dưới đây mà Trường Trung cấp Y khoa Việt Nam chia sẻ để có thể hiểu rõ hơn khi mất răng số 6 hàm dưới sẽ ảnh hưởng thế nào và chúng ta có thể làm gì?
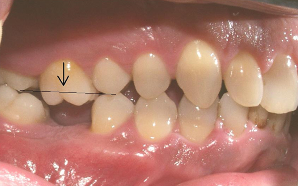
Mất răng số 6 hàm dưới có sao không?
Răng số 6 mọc khi trẻ được 6 đến 8 tuổi và không được thay thế, do đó, nếu không được vệ sinh và chăm sóc đúng cách, răng này rất dễ bị viêm và sâu. Răng số 6 có vai trò quan trọng trong việc nhai và nghiền nát thức ăn. Nếu mất răng số 6 hàm dưới có sao không, người bệnh có thể đối mặt với những vấn đề sau:
- Ảnh hưởng đến chức năng nhai và hệ tiêu hóa: Răng số 6 và răng số 7 thường phối hợp để nhai và nghiền nát thức ăn trước khi đưa xuống dạ dày. Khi mất răng số 6 hàm dưới, răng số 7 phải đảm nhiệm toàn bộ quá trình này, dẫn đến hiệu quả nhai kém hơn. Hệ tiêu hóa sẽ phải làm việc nhiều hơn, dạ dày phải co bóp nhiều hơn, và việc hấp thụ dưỡng chất của cơ thể sẽ giảm đáng kể.
- Gây xô lệch khuôn hàm: Mất răng tạo ra khoảng trống, khiến các răng còn lại có xu hướng đổ về phía này. Vị trí răng đối diện cũng bị ảnh hưởng, chẳng hạn, mất răng số 6 hàm dưới sẽ làm răng số 6 hàm trên trồi xuống và thiếu trụ đỡ, gây khó khăn trong việc nhai. Điều này dẫn đến đau mỏi hàm và có thể gây lệch khớp cắn.
- Tiêu xương hàm: Mất răng số 6 hàm dưới làm mất lực nhai tại vùng đó, dẫn đến tiêu xương hàm. Sau khoảng 3 tháng, xương hàm bắt đầu teo dần, gây tụt lợi chân răng cạnh răng số 6. Mặc dù quá trình này thường không đau đớn, nhưng hậu quả tiêu xương hàm dễ nhận thấy khi phần lợi bị tụt xuống.
- Gây mất thẩm mỹ: Dù răng số 6 nằm khuất bên trong, việc mất răng này có thể nhận thấy khi nói và cười ở góc nghiêng. Điều này khiến người bệnh mất tự tin khi giao tiếp. Hơn nữa, tiêu xương hàm làm mất sự cân đối khuôn mặt, vùng răng mất bị hóp lại, da mặt nhăn nheo và lão hóa nhanh hơn, làm khuôn mặt trông già hơn rõ rệt. Do đó, mất răng số 6 hàm dưới có thể ảnh hưởng lớn đến thẩm mỹ khuôn mặt.

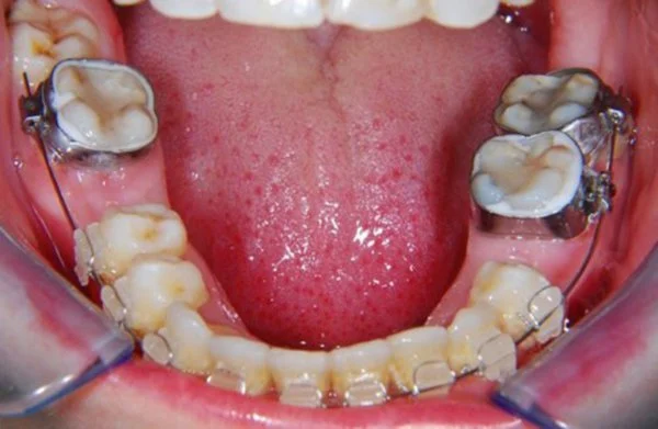
Mất răng số 6 hàm dưới có niềng răng được không?
Có thể niềng răng khi bị mất răng số 6 hàm dưới không? Rất may mắn, câu trả lời là “có” nếu bạn đã mọc hoặc đang mọc răng khôn (răng số 8). Một số trường hợp, nếu răng khôn mọc ngầm, vẫn có thể niềng răng được.
Nếu bạn không có răng khôn hoặc đã nhổ răng khôn và mất răng số 6 hàm dưới, niềng răng sẽ không giúp ích được. Trong trường hợp này, bạn cần tiến hành cấy ghép implant cho răng đã mất.
Trường hợp mất răng số 6 hàm dưới nhưng còn răng số 7 và răng số 8 cùng hàm và cùng phía, có thể niềng răng để kéo hai răng này thay vị trí răng số 6. Theo thời gian, răng số 7 sẽ di chuyển vào vị trí răng số 6 và trở thành răng số 6 mới, còn răng số 8 sẽ thay thế vị trí răng số 7. Sau khi hoàn tất quá trình niềng, bạn sẽ có hàm răng hoàn chỉnh và có thể ăn uống thoải mái như trước khi mất răng.
Nếu răng số 8 đang mọc, quy trình trên vẫn có thể thực hiện. Tuy nhiên, nếu răng số 8 mọc ngầm, việc điều chỉnh sẽ phụ thuộc vào tình trạng răng số 8 cũng như tình trạng răng hiện tại của bạn. Nha sĩ sẽ xác định kế hoạch điều trị phù hợp. Nha sĩ sẽ thực hiện niềng răng số 6 hàm dưới bằng cách sử dụng mắc cài hoặc khay niềng trong suốt để kéo răng đều lại và lấp đầy khoảng trống do mất răng gây ra.
Việc niềng răng cần tính toán kỹ lưỡng việc kéo răng số 7 vào vị trí răng số 6 cũng như thời gian nắn chỉnh răng, vì răng số 7 có nhiều chân. Nếu khoảng trống mất răng nhỏ, quá trình niềng răng sẽ dễ dàng hơn, nhưng nếu khoảng trống lớn, việc niềng răng có thể không đạt hiệu quả 100%. Trong trường hợp này, bạn có thể phải tiến hành trồng thêm răng số 6 đã mất sau khi kết thúc quá trình chỉnh nha để khôi phục lại cấu trúc răng.
Phương pháp niềng răng phổ biến:
- Niềng răng mắc cài: Phương pháp này sử dụng hệ thống mắc cài và dây cung để tạo lực kéo, giúp dịch chuyển răng về vị trí đúng trên cung hàm. Mắc cài có thể được làm bằng kim loại hoặc bằng sứ để tăng tính thẩm mỹ.
- Niềng răng trong suốt Invisalign: Đây là phương pháp hiện đại nhất, không dùng mắc cài. Phương pháp này sử dụng các khay niềng răng trong suốt có thể tháo ra lắp vào, dễ dàng trong ăn uống và vệ sinh, lại có tính thẩm mỹ cao, giúp người dùng tự tin trong giao tiếp mà không sợ bị phát hiện. Các khay trong suốt này sẽ tạo lực tác động lên răng, giúp răng dịch chuyển từ từ về vị trí mong muốn, tạo cho bạn nụ cười tự tin.
Mất 2 răng số 6 hàm dưới có sao không?

Răng số 6, còn được gọi là răng cấm, giữ vai trò quan trọng trong việc ăn nhai và góp phần ổn định cung hàm. Vì vậy, khi mất đồng thời hai chiếc răng này, sẽ gây ra những tác động tiêu cực đến cấu trúc và sức khỏe răng hàm, khiến chức năng ăn nhai bị suy giảm và có thể dẫn đến những bệnh lý nguy hiểm khác.
Răng số 6 không chỉ đảm bảo lực nhai chủ yếu mà còn là điểm tựa giúp các răng vĩnh viễn mọc lên thuận lợi và đều đặn hơn. Quan trọng hơn, răng số 6 còn có tác dụng định hướng cho các răng còn lại trên cung hàm mọc đúng vị trí, tránh tình trạng răng mọc lệch ở trẻ em.
Chính vì vai trò quan trọng này, việc tìm giải pháp phù hợp để khắc phục tình trạng mất 2 răng số 6 là điều vô cùng cần thiết. Nếu hàm răng thiếu hai chiếc răng quan trọng này, bạn có thể lựa chọn một trong những giải pháp phục hình răng hiệu quả như trồng răng sứ, làm cầu răng sứ, hoặc cấy ghép răng implant. Tùy thuộc vào điều kiện tài chính và tình trạng răng hàm của mỗi người, bác sĩ sẽ tư vấn phương pháp tối ưu nhất.
Vậy là bạn đã hiểu khi mất răng số 6 hàm dưới ảnh hưởng như thế nào và có thể gây ra những nguy cơ gì để có thể chuẩn bị sẵn tâm lý và những phương án để khắc phục. GIờ đây, chắc hẳn bạn đã hiểu mất răng số 6 hàm dưới có sao không, có niềng răng được không và trường hợp mất 2 răng số 6 hàm dưới sẽ ra sao rồi phải không. Hy vọng những thông tin chúng tôi chia sẻ hữu ích cho bạn trong quá trình chăm sóc răng miệng của bản thân!
>>> Bài viết liên quan:
May, 20 2024
